要知道,日常刷牙只能清洁颊面、舌面及咬合面的菌斑和残留的食物残渣,很难彻底清洁“牙间隙”。“牙间隙”就成了“藏污纳垢”之地,里面细菌的滋生会悄悄腐蚀你的牙齿。所以,辅以牙线这种专门清洁牙间隙的工具,才能全面清除菌斑,达到一个较完善的口腔清洁效果。

不管是改良巴氏刷牙法,还是正确使用牙线,其实都是一个熟能生巧的过程,身边很多朋友及患者总是抱怨不会使用牙线,使用起来很麻烦。用多了就熟练了,也就习惯了。
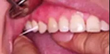
一、正确使用牙线,如下图所示
1、取一段长约30-40cm长的牙线,将其两端各绕在左右手的中指上,将中指卷曲起来;

2、两中指间牙线的长度应刚好使拇指伸直接触,用一手拇指和另一手食指绷直牙线;

3、清洁上前牙时,将食指伸进口内,拇指在口外绷紧牙线,使牙线紧贴一侧牙面,上下剔刮牙面;

4、清洁右上后牙时,用右手拇指及左手食指掌面绷紧牙线,右手拇指将颊面牵开;清洁左上后牙时转为左手拇指及右手食指执线,左手拇指将颊面牵开;

5、清洁所有下颌牙时可由两手食指执线,将牙轻轻通过接触点;

6、牙线通过接触点,轻轻加力,使牙线到达接触点以下的牙面并进入龈沟底以清洁龈沟区,如果接触点较紧,可牵动牙线在接触点上作水平拉锯式动作,使牙线逐渐通过接触点,将牙线紧贴并包绕牙面,上线牵动,刮除牙面食物残渣及菌斑,每一个牙面剔刮4-6次,直至牙面清洁。

二、牙线的应用
1、时间:使用牙线最好在每日餐后;
2、使用人群:有条件的情况下(尤其是无大的牙间隙的中、青年人),应尽量使用牙线,有利于口腔健康的长期维持;
3、使用牙线时勿用力过大,以免损伤牙龈;

4、牙线大多是一次性的,不可重复使用,重复使用牙线百害而无一利;
5、对于牙线使用不习惯的,可以使用牙线弓(棒)代替普通牙线,使用起来比较方便,但是价格稍贵。

使用牙线会不会把牙间隙拉大?
不存在的!牙齿本身有一定的生理动度的,
牙线又比较细小、软、有弹性,
可以很容易地进入牙间隙而不会对牙齿产生楔力。