牙齿畸形指儿童在生长发育过程中由先天的遗传因素或后天的环境因素造成的牙齿、颔骨、颅面的畸形。如牙齿的排列不齐、上牙前突、下巴前翘、嘴巴歪偏等,牙齿畸形不仅会影响颜面部的美观,还会影响口腔的卫生健康,另外牙齿畸形还会影响牙齿的咀嚼功能,进而会加重胃肠负担,易引起消化不良或胃肠疾病,当出现牙齿畸形应积极矫正。

四院口腔科配备先进的口腔正畸诊疗设备,自2007年以来不断引进国内外最先进的临床矫治技术:如隐形矫治技术、自锁托槽矫治技术、各种直丝弓矫治技术、种植支抗技术等,对各类错合畸形进行规范化诊治。开展了针对儿童生长发育期各种颌骨发育畸形的早期预防性矫治,对青少年牙列不齐、双颌前突、反颌治疗等都取得了满意的疗效。
牙齿畸形矫正技术优势
技术保障—国内外最先进的临床矫治技术:隐形矫治技术、直丝弓矫治技术等
设备保障—数字化3D口腔CT机+全景机
成功保障—已成功完成500例以上的牙齿畸形矫正
专业保障—专业、成熟、合理的技术团队
最佳治疗时机的问题
01、早期矫治

地包天、下颌后缩、下颌偏斜、不良口腔习惯(吮手指、口呼吸、咬铅笔等)可能会影响颌骨发育要尽早治疗,尽量在乳牙期矫治,最晚不能超过10岁的替牙期,因为这个时期是生长发育的高峰期,通过功能矫治可以明显地改善不佳的面形,错过这个时期再矫治就困难了,但是有些单纯牙齿不齐可以等到恒牙期12岁以后再矫治。
02、一般矫治
11、12岁的恒牙初期是矫治大多数牙颌畸形的最佳时期,此期恒牙列完全建立,颅、颌、面尚有部分潜力,代谢功能好,牙的移动效果最显著,所以这个时期是正畸矫治的“黄金时期”。

03、手术矫治
对于严重的骨性牙颌畸形,则需要等到完全发育成熟后(年龄约在18-20岁)进行正颌手术治疗,才能达到满意的疗效。

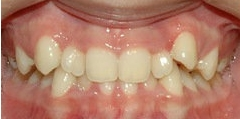
病例展示
反颌矫正前:

矫正中:

矫正后:

自锁托槽矫正前:

矫正中:

矫正后:

隐形矫正前:

3D方案:

矫正后:

先进设备
数字化3D口腔CT机+全景机

牙齿畸形矫正专家

咨询电话:
18656275308
地址:
蚌埠市禹会区东海大道7231号
(民政项目园D区)
公交车:180路、K311、302、
怀远5路直达(丰原制药站)下