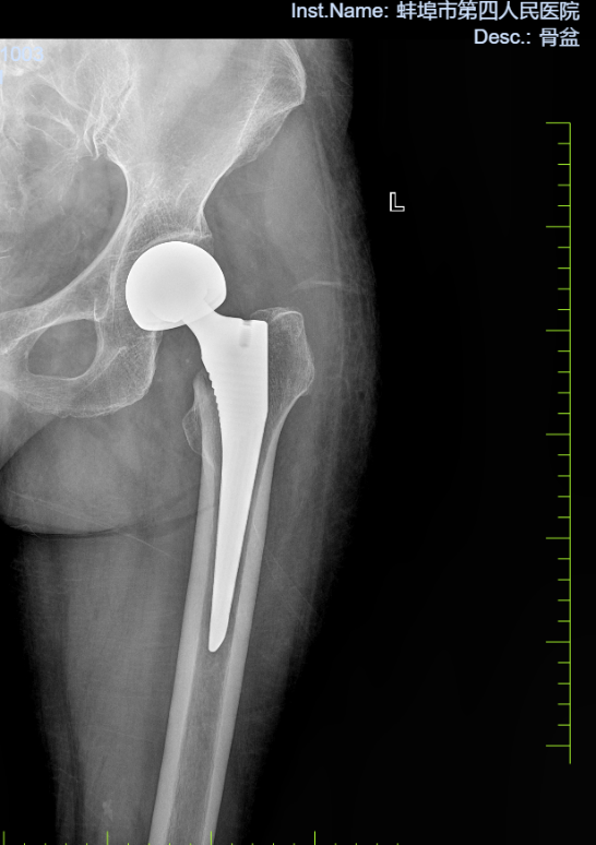
病例一:患者,男,71岁,因“左髋关节疼痛伴活动受限一周”入院。诊断:左侧股骨头无菌性坏死;行左侧全髋关节置换术,手术顺利,术后恢复良好,顺利出院。

左侧股骨头坏死 术前X线片 左侧股骨头坏死术后X线片
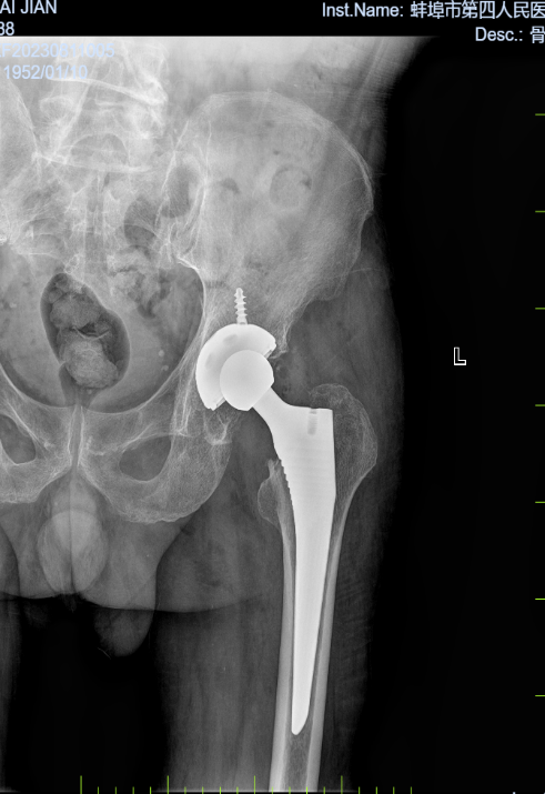
病例二:患者,女,84岁,因“摔伤致左髋部疼痛伴活动受限3天”入院。诊断:左侧股骨颈骨折;行左侧人工股骨头置换术,手术顺利,术后恢复良好,顺利出院。

左侧股骨颈骨折 术前X线片 左侧股骨颈骨折 术后X线片
病例三:患者,刘某,女,72岁,因“外伤致腰部及髋部疼痛不适1天”入院。诊断:腰1椎体压缩性骨折,骨质疏松症;行经皮穿刺腰1椎体成形术,手术顺利,术后恢复良好,顺利出院。

腰1椎体压缩性骨 术前X线片 腰1椎体压缩性骨 术前磁共振

腰1椎体压缩性骨 术后X线片

腰1椎体压缩性骨 术后切口(3mm)
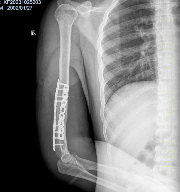
病例四:患者,男,21岁,因“与他人掰腕致右上肢疼痛伴活动受限5小时”入院。诊断:右肱骨干粉碎性骨折,桡神经损伤;行右肱骨干骨折切开复位内固定+桡神经探查修复术;手术顺利,术后进行康复训练中,功能恢复良好。

右肱骨干粉碎性骨折 术前X线片 右肱骨干粉碎性骨折 术前三维CT

右肱骨干粉碎性骨折 术后 X线片
病例五:患者,女,56岁,因“车祸伤致左踝关节肿痛伴活动受限14小时”入院。诊断:左侧三踝粉碎性骨折伴踝关节脱位;行左踝关节骨折切开复位内固定术;手术顺利,术后进行康复训练中,功能恢复良好。

左侧三踝粉碎性骨折 术前X线片


左侧三踝粉碎性骨折 术前三维CT

左侧三踝粉碎性骨折 术后X线片
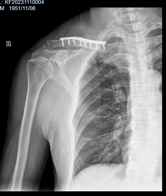
病例六:患者,男,71岁,因“摔伤致右肩部疼痛伴活动受限1小时余”入院。诊断:右锁骨骨折;行右锁骨骨折切开复位内固定术;手术顺利,术后恢复良好,顺利出院。

右锁骨骨折 术前X线片 右锁骨骨折 术前三维CT

右锁骨骨折 术后X线片
病例七:患者,女,36岁,因“左膝关节疼痛活动受限5天”入院。诊断:左膝外侧半月板撕裂;行左膝关节镜探查+滑膜清理+外侧半月板成形术;手术顺利,术后恢复良好,顺利出院。

左膝外侧半月板撕裂 术前磁共振



左膝外侧半月板撕裂 术中关节手术图片
病例八:患者,男,54岁,因“颈肩部酸痛不适半年,伴左下肢行走不稳2月余”入院。诊断:脊髓型颈椎病;行颈4椎体次全切+椎管减压融合内固定术(ACCF)。手术顺利,术后进行康复训练中,功能恢复良好。

脊髓型颈椎病 术前磁共振

脊髓型颈椎病 术后X线
我科最近完成多例手术,手术效果均良好。其中颈椎前路手术、全髋关节置换术、三踝粉碎性骨折内固定术,关节镜手术等,代表我科手术水平已达到同级医院较高水平;目前我科常规开展三、四类手术;在处理骨科疑难重症方面也有着较高的治疗水平和丰富的治疗经验。蚌埠四院骨科团队将再接再厉,精诚合作,为广大市民提供高质量的医疗保障,让每一位患者得到科学及合理的专业治疗。
科室人员简介
魏继虎,骨科副主任医师,硕士。擅长骨科肩、肘、腕、髋、膝、踝等关节疾病的诊断和治疗,能熟练操作肩、膝关节镜技术治疗肩痛、肩袖损伤、肩周炎、膝关节游离体、半月板损伤、交叉韧带损伤等。
李贵,毕业于安徽中医药大学骨伤专业,擅长关节置换、椎体成形术、椎间盘摘除术、脊柱骨折复位内固定术、关节镜下交叉韧带韧带重建等。擅长物理康复、运动康复、器械康复、冲击波治疗、富集血小板治疗等。结合关节镜等技术,实现骨关节病微创手术与康复相结合的系统治疗。
唐程程,骨科主治医师,毕业于安徽医科大学临床医学专业。在蚌埠医学院第二附属医院完成国家住院医师规范化培训(骨科)。目前医学硕士在读,师承牛国旗教授(医学博士、脊柱外科专家、主任医师、江淮名医)。曾到宁波市医疗中心李惠利医院脊柱外科进修学习半年,参与论文写作及发表数篇。
擅长骨科常见疾病的诊断及治疗,如四肢骨折内固定,髋部骨折微创治疗(Intertan、PFNA、FNS)等,髋、膝关节置换,糖足、慢创的保肢修复治疗等。尤其擅长脊柱骨折的微创椎体成形(PKP、PVP)及经皮螺钉固定技术(PPSF),腰椎间盘突出的微创治疗,脊柱退变性疾病(颈椎病、椎管狭窄、腰椎滑脱等)的开放手术治疗。对于肩关节、膝关节的运动损伤以及脊柱侧弯矫形也颇有治疗经验。
支永成,骨科主治医师,本科学历,毕业于蚌埠医学院临床医学系,拥有临床和中西医结合执业医师资格证,从事临床工作20年余,曾在部队医院工作多年,先后在蚌埠、常州各大医院进修深造,能够采用中西医结合疗法对颈肩腰腿痛、关节痛、骨与关节创伤等骨外科疾病的治疗与康复,能够开展四肢骨折与关节损伤的手法复位及手术治疗,尤其是严重交通事故伤、开放性骨折与关节损伤、机器碾压伤、刀枪刺伤有颇深的研究和应急处置能力。
安亚军,骨科住院医师,2013年临床医学专业,本科学历,2014-2015年蚌埠市第三人民医院骨科进修,2019-2022年蚌埠市第三人民医院骨科规培,
擅长:对脊柱骨折及脱位、颈椎病、腰椎间盘突出症、腰椎管狭窄症、腰椎滑脱、胸椎管狭窄症等疾患的诊断及治疗,有着丰富的经验与体会。同时积极开展了椎间孔镜、内镜下椎间盘摘除、经皮椎体成型等微创脊柱外科技术熟练开展,四肢骨与关节复杂骨折手术治疗,关节常见疾患的保守治疗、人工关节置换术、关节镜下手术治疗等治疗措施。
吴郑南,住院医师,毕业安徽中医药大学中西医结合临床专业!曾在蚌埠市第二人民医院手足显微外科工作5年,有丰富的显微外科经验,擅长创伤骨科手足外科,四肢骨折,髋关节置换,膝关节镜等微创手术。
崔腾飞,男,骨科住院医师,2019年毕业于海南医学院临床医学专业,本科学历,2019-2022年于安徽医科大学第一附属医院规培。
擅长:创伤骨折切开复位内固定术及骨伤康复等工作。
未来发展方向:创伤骨科,运动创伤与关节镜,椎间孔镜等。