患者范奶奶今年70多岁了,因在家中不慎摔倒导致右侧大腿严重受伤,出现剧烈疼痛和外观畸形,活动受到限制,幸无皮肤破损及出血现象。伤后,范奶奶未出现头晕、头痛、心慌或气促等并发症,鉴于疼痛难忍,为求进一步治疗,她来到蚌埠市第四人民医院(市康复医院)骨科寻求帮助,经过门诊拍片后确诊为“右侧股骨干骨折”,随即安排入院治疗。
入院后,我院骨科团队迅速为范奶奶完善了相关检查,建议其卧床休息,同时采取抗炎止痛、患肢抬高牵引制动等综合治疗措施。值得注意的是,范奶奶右侧股骨有多次骨折病史,并接受过多次手术治疗。目前,她上次右侧股骨下段骨折的内固定装置尚未取出。针对这一复杂情况,我院骨科联合手术室(麻醉科)、护理部等多学科专家,对范奶奶的病情进行了全面而细致的评估与研讨,共同制定了周密的麻醉及手术方案。




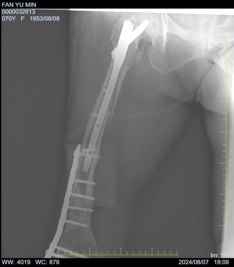
2024年8月3日,由骨科李贵主任主刀,在骨科团队的辅助下,顺利为范奶奶实施了精准的右侧股骨切开内固定装置去除术(针对部分螺钉)及股骨髓内钉内固定术。手术过程中,骨科与手术室(麻醉科)医护人员紧密协作,手术圆满成功。范奶奶术后状况稳定,且经C臂机透视确认右侧股骨髓内钉复位及内固定位置均理想,最终平安返回病房。
术后恢复期间,患者床旁摄片复查显示,右侧股骨髓内钉复位及内固定位置保持良好。范奶奶及其家属对手术结果表示高度满意,对我院的医疗技术和护理服务给予了充分的肯定。
这一成功案例再次彰显了我院多学科协作的优势以及医护团队的精湛医术和高尚医德。未来,我院将继续秉持以患者为中心的服务理念,为更多患者带来健康和希望。
科室业务及团队介绍

魏继虎

骨科主任医师,擅长骨科肩、肘、腕、髋、膝、踝等关节疾病的诊断和治疗,能熟练操作肩、膝关节镜技术治疗肩痛、肩袖损伤、肩周炎、膝关节游离体、半月板损伤、交叉韧带损伤等。
联系电话:13865003298
李贵

毕业于安徽中医药大学骨伤专业,擅长关节置换、椎体成形术、椎间盘摘除术、脊柱骨折复位内固定术、关节镜下交叉韧带韧带重建等。擅长物理康复、运动康复、器械康复、冲击波治疗、富集血小板治疗等。结合关节镜等技术,实现骨关节病微创手术与康复相结合的系统治疗。
联系电话:19305525860
唐程程

骨科主治医师,毕业于安徽医科大学临床医学专业。在蚌埠医学院第二附属医院完成国家住院医师规范化培训(骨科)。目前医学硕士在读,师承牛国旗教授(医学博士、脊柱外科专家、主任医师、江淮名医)。曾到宁波市医疗中心李惠利医院脊柱外科进修学习半年,参与论文写作及发表数篇。
擅长骨科常见疾病的诊断及治疗,如四肢骨折内固定,髋部骨折微创治疗(Intertan、PFNA、FNS)等,髋、膝关节置换,糖足、慢创的保肢修复治疗等。尤其擅长脊柱骨折的微创椎体成形(PKP、PVP)及经皮螺钉固定技术(PPSF),腰椎间盘突出的微创治疗,脊柱退变性疾病(颈椎病、椎管狭窄、腰椎滑脱等)的开放手术治疗。对于肩关节、膝关节的运动损伤以及脊柱侧弯矫形也颇有治疗经验。
联系电话:18656275236
支永成

骨科主治医师,本科学历,毕业于蚌埠医学院临床医学系,拥有临床和中西医结合执业医师资格证,从事临床工作20年余,曾在部队医院工作多年,先后在蚌埠、常州各大医院进修深造,能够采用中西医结合疗法对颈肩腰腿痛、关节痛、骨与关节创伤等骨外科疾病的治疗与康复,能够开展四肢骨折与关节损伤的手法复位及手术治疗,尤其是严重交通事故伤、开放性骨折与关节损伤、机器碾压伤、刀枪刺伤有颇深的研究和应急处置能力。
联系电话:15955251905
安亚军

骨科住院医师,2013年临床医学专业,本科学历,2014-2015年蚌埠市第三人民医院骨科进修,2019-2022年蚌埠市第三人民医院骨科规培,
擅长:对脊柱骨折及脱位、颈椎病、腰椎间盘突出症、腰椎管狭窄症、腰椎滑脱、胸椎管狭窄症等疾患的诊断及治疗,有着丰富的经验与体会。同时积极开展了椎间孔镜、内镜下椎间盘摘除、经皮椎体成型等微创脊柱外科技术熟练开展,四肢骨与关节复杂骨折手术治疗,关节常见疾患的保守治疗、人工关节置换术、关节镜下手术治疗等治疗措施。
联系电话:19305525521
吴郑南

住院医师,毕业安徽中医药大学中西医结合临床专业!曾在蚌埠市第二人民医院手足显微外科工作5年,有丰富的显微外科经验,擅长创伤骨科手足外科,四肢骨折,髋关节置换,膝关节镜等微创手术。
联系电话:15056372218
崔腾飞

骨科住院医师,2019年毕业于海南医学院临床医学专业,本科学历,2019-2022年于安徽医科大学第一附属医院规培。
擅长:创伤骨折切开复位内固定术及骨伤康复等工作。
未来发展方向:创伤骨科,运动创伤与关节镜,椎间孔镜等。
联系电话:18655250268
知识普及
如何预防高龄老人摔伤骨折?
1.整顿身边环境,防止被脚下障碍物绊倒。脚下障碍物最常见的是各种电器的导线,其次是房间内地面不平,特别是有些人家中的走廊与房间、卧室与卫生间存在地面的“小落差”,还有是地毯等。因此,在家中行走的通道什么也不要放置,尽可能制造出一条畅通的空间;在日常生活中,应当养成经常收拾整理的习惯;在有落差的地面要用脚垫等消除落差;将地毯的边缘部位用粘膏固定等。
2.站不稳时要赶紧抓住扶手。在家中的卫生间、浴池等处安装扶手是必要的,一旦变换体位发生摇晃时,或是夜间进入卫生间,睡得迷迷糊糊时身体的摇晃更加明显,这时如能随时立刻抓住扶手就可以确保身体的稳定性。
3.除了安装扶手,应在适当的地方安装照明灯,可以使夜间的通道地面更加清楚,方便行走。尤其患有白内障、糖尿病视网膜病变的老年人,环境明亮通畅更为重要。
4.地面上的水渍要立即擦干。老年人没有看到地面上的水而摔倒的事常常发生。对容易打滑的地方是卫生间和楼梯。因此,做完接触水的事之后,要仔细查看周围的地方,看看地板是否被打湿,即使是小水滴,如果发现也要立即擦干。在卫生间的浴池下面可以放置防滑的橡胶垫。
5.外出活动时,最好穿宽松的运动裤,保持动作灵活。容易行走的运动鞋最好,特别应选择有防滑性能的鞋底。尽量选择平坦的平行道,避免凹凸不平的道路和人车混乱的地方。夜间要控制外出,雨、雪等坏天气也是同样。另外,对陌生的地方,也要慎重行动。
6.对老年人来说,使用手杖可以协助双脚支撑住身体,使两点支撑变成了三点支撑,增加了身体的稳定性,对防止摔倒是个好办法。