近日,蚌埠市第四人民医院(市康复医院)再次成功完成一例冠状动脉造影手术,这标志着我院心血管诊疗技术水平更加成熟。
01.病例分享
患者张某,男,67岁,反复心悸、胸闷长达2年。该患者日常活动耐力下降严重,上两层楼就胸闷、气喘、乏力,有夜间阵发性憋闷感,伴有“慢性支气管炎”,严重影响日常生活及工作。
患者入院后,心脑血管康复科团队对患者进行完善的术前检查及评估并积极与其沟通,消除对方疑虑。经过充分的术前准备,心脑血管康复科主任孙春启及主治医师缪云鹏在介入导管室为患者实施冠状动脉造影术。术中发现该患者多支血管狭窄,最重达60%。


明确病因后,孙春启主任为该患者制定了科学的药物治疗计划。经过规范治疗,目前患者心悸、胸闷症状明显改善,日常活动能力提升。
“冠状动脉造影是诊断冠心病的一种常用且有效的方法,是一种有创诊断技术,是诊断冠心病的‘金标准’!这对于及早发现心血管病变、提高预防和治疗具有重要意义。”蚌埠市第四人民医院(市康复医院)孙春启主任介绍道。该术创伤小、费用低、副反应小、无需禁饮禁食,手术一般历时30分钟,术后卧床休息8小时即可正常活动,具有集诊断与指导诊疗策略选择于一体的优势。此类技术的成熟开展,标志着我院心脑血管科在治疗心血管病的领域又多了一项“硬技术”。
目前我院已经可以DSA的支持下开展冠状动脉造影术、冠状动脉支架植入术,冠状动脉造影球囊扩张术、颅内血管造影、脑血管支架植入术、脑血管球囊扩张术、颈动脉及椎动脉支架植入术等技术,真正实现了二级医院的价格,三级医院的服务,使患者少花钱看大病。
02.专家介绍

03.咨询电话
孙主任 13053123336
缪云鹏 19305525503
04.科普时间
冠状动脉造影是诊断冠状动脉粥样硬化性心脏病(冠心病)的一种常用而且有效的方法,是一种较为安全可靠的有创诊断技术,现已广泛应用于临床,被认为是诊断冠心病的“金标准”。发达国家更重视冠脉造影检查,目前已经位居全美手术量第一位。
01.哪些患者需要做冠脉造影
1.不明原因的胸痛,无创性检查不能确诊,临床怀疑冠心病的患者。
2.不明原因的心律失常,如顽固的室性心律失常或新发传导阻滞的患者。
3.不明原因的左心功能不全,主要见于扩张型心肌病或缺血性心肌病的患者。
4.经皮冠状动脉介入治疗(PCI)或冠状动脉旁路移植术后复发心绞痛的患者。
5.先天性心脏病和瓣膜病患者重大手术前。(如年龄>50岁,易合并有冠状动脉畸形或动脉粥样硬化,可以在手术的同时进行干预。)
6.无症状但疑有冠心病的患者。
7.高危职业如:飞行员、汽车司机、警察、运动员及消防队员等或医疗保险需要。

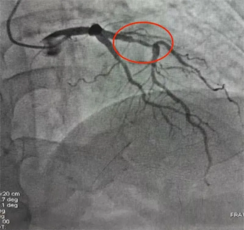
图1:冠脉造影检查图片
02.冠状动脉造影术后需要事项
多饮水,桡动脉穿刺处勿打弯,穿刺处一周内勿沾水(如洗澡可用防水创可贴保护),术后一个月勿提重物。

图2:冠脉造影术后穿刺处
03.冠状动脉造影术常见问题
1.问:症状符合冠心病,是否可以不做冠脉造影,直接吃药?
答:一定要先诊断后治疗,如果冠脉造影检查结果无异常,也许您就不是冠心病,根本无需吃药。
2.问:身体状况差的患者能承受冠脉造影术吗?
答:冠脉造影术属于微创的检查手段,患者走着去检查,走着回来,一般情况下实际操作3~5分钟即可完成,只要没有平卧呼吸困难等症状,都能承受。
3.问:冠脉造影需要全麻吗?很疼吗?
答:冠脉造影无需全麻,局部麻醉即可,术者穿刺前会对穿刺处皮下注射少量利多卡因,而且用的是1毫升注射器,创伤非常小。
4.问:做冠脉造影需要住院吗,需要住多长时间,需要陪护吗?
答:目前做冠脉造影检查是需要住院治疗的,如结果正常,且无其他意外情况,可当天出院。手术本身不会对患者造成大的创伤,如患者生活可以自理,住院期间是不需要陪护的,但一般需要有一名直系亲属负责签署手术相关同意书。
文章科普部分来源 |吉林省一汽总医院
转载声明 | 文章部分图文版权归原创作者所有,如有侵权请与我们联系删除